½Ã¼³ Àå¾Ö¾Æ, ôÃßÃø¸¸Áõ ¹«·Á 70%...°ü½É°ú Áö¿ø Àý½Ç

      ÀÔ·Â : 2006.01.27 09:18

      Àå¾Ö½Ã¼³ ¾Æµ¿µéÀÇ 70%°¡ ôÃßÃø¸¸ÁõÀ» ¾Î°í ÀÖÀ¸¸ç, ¼ö¼úÀÌ ½Ã±ÞÇÑ °æ¿ìµµ 15%¿¡ À̸£´Â µî ôÃ߰ǰ­ÀÌ ¸Å¿ì ½É°¢ÇÑ °ÍÀ¸·Î Á¶»çµÆ´Ù.

      °í·Á´ëÇб³ ±¸·Îº´¿ø ôÃßÃø¸¸Áõ¿¬±¸¼Ò(¼ÒÀå ¼­½Â¿ì Á¤Çü¿Ü°ú ±³¼ö)°¡ 2005³â 6~12¿ù±îÁö 7°³¿ù°£ Àü±¹ 82°³ ±¹°¡µî·Ï Àå¾Ö½Ã¼³ ¾Æµ¿ 1371¸íÀ» ´ë»óÀ¸·Î Á¶»çÇÑ °á°ú, 10¸í Áß 7¸í²ÃÀÎ 988¸í(10µµ ÀÌ»ó)ÀÌ Ã´ÃßÃø¸¸ÁõÀ¸·Î Áø´ÜµÆ´Ù. Ç㸮°¡ 40µµ ÀÌ»ó ÈÖ¾î ½Ã±ÞÈ÷ ¼ö¼úÀ» ¿äÇÏ´Â °æ¿ì°¡ 15%(203¸í), 100µµ ÀÌ»ó ÈÖ¾î ¼ö¼úÁ¶Â÷ ¾î·Á¿î ¾Æµ¿ ¶ÇÇÑ 2%(31¸í)¿¡ ´ÞÇÏ´Â °ÍÀ¸·Î ³ªÅ¸³µ´Ù.

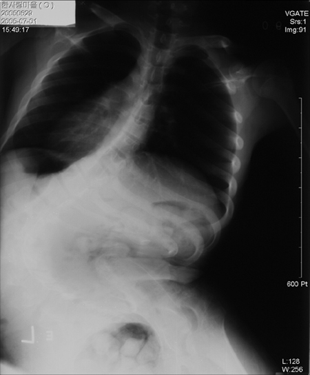
      ôÃßÃø¸¸ÁõÀº Ç㸮°¡ CÀÚ ¸ð¾ç ¶Ç´Â SÀÚ ¸ð¾çÀ¸·Î ÈÖ¾îÁö´Â º´À¸·Î ³ú¼º¸¶ºñ ¾î¸°ÀÌÀÇ 90% À̻󿡼­ ¹ß»ýÇÑ´Ù. Ä¡·á Àû±â¸¦ ³õÄ¡°Ô µÇ¸é ±³Á¤Çϱ⵵ Èûµé »Ó ¾Æ´Ï¶ó ¿À·¡ ¹æÄ¡ÇÒ °æ¿ì ½ÉÀå°ú ÆóÀÇ ±â´É ÀúÇϸ¦ ÀÏÀ¸Å³ ¿ì·Á°¡ ÀÖ¾î Á¶±â ¹ß°ßÀÌ ÇʼöÀûÀÎ Áúº´ÀÌ´Ù.

      ÀϹÝÀûÀ¸·Î ôÃß°¡ 10µµ ÀÌ»ó ÈÖ°Ô µÇ¸é ôÃßÃø¸¸ÁõÀ¸·Î Áø´Ü¹Þ¾Æ ÀÚ¼¼±³Á¤ Ä¡·á¸¦ ¹Þ¾Æ¾ß Çϰí, 20µµ ÀÌ»ó ÈÖ¸é º¸Á¶±â¸¦ Âø¿ëÇØ »ýÈ°ÇØ¾ß ÇÑ´Ù. 40µµ ÀÌ»óÀ¸·Î Ç㸮°¡ ½ÉÇÏ°Ô ÈÙ °æ¿ì ¼ö¼ú¹Þ¾Æ¾ß ÇÑ´Ù. ôÃß°¡ 40µµ ÀÌ»ó ÈÖ¾îÁø »óÅ¿¡¼­ ¹æÄ¡µÇ¸é 1~2³â »çÀÌ¿¡ 100µµ ÀÌ»ó±îÁö µîÀÌ ±ÁÀ» ¼öµµ ÀÖ¾î °¢º°ÇÑ ÁÖÀǰ¡ ¿ä±¸µÈ´Ù.

      Àå¾Ö½Ã¼³ÀÇ ³ú¼º¸¶ºñ ¾Æµ¿µé°°ÀÌ Á¶±âÁø·á°¡ ÀÌ·ïÁöÁö ¾Ê¾Æ Ç㸮 ¸ð½ÀÀÌ CÀÚ ¸ð¾çÀ¸·Î 100µµ ÀÌ»ó ÈÖ°Ô µÇ¸é Àå±â°¡ ¾Ð¹ÚµÊÀº ¹°·Ð ½ÉÀå°ú ÆóÀÇ ±â´ÉÀÌ ÀúÇϵǾî Á¶±â »ç¸ÁÀÇ ¿øÀÎÀÌ µÉ ¼ö ÀÖ´Ù. »Ó¸¸ ¾Æ´Ï¶ó ÈÙü¾î ½Å¼¼Á¶Â÷ Áú ¼ö ¾ø¾î ¹æ¿¡¸¸ ´©¿öÀÖ°Ô µÇ¸ç ÅëÁõ ¶ÇÇÑ ¸»·Î Ç¥ÇöÇÒ ¼ö ¾øÀ» Á¤µµ·Î ½ÉÇÏ´Ù.

      ÀÌ·¸°Ô ôÃßÃø¸¸ÁõÀÌ ³ú¼º¸¶ºñ ¾î¸°À̵鿡°Ô ¸¹ÀÌ ³ªÅ¸³ª´Â ¿øÀÎÀº ³ú½Å°æ¼Õ»óÀ¸·Î ÀÎÇØ Ç㸮¸¦ ÁöÅÊÇØ ÁÖ´Â ±ÙÀ°ÀÇ ÈûÀÌ Á¶ÀýµÇÁö ¾Ê±â ¶§¹®ÀÌ´Ù. ¼­½Â¿ì ±³¼ö´Â ¡°³ú¼º¸¶ºñ ¾Æµ¿ÀÌ Ã´ÃßÃø¸¸Áõ ¶§¹®¿¡ Ç㸮°¡ CÀÚ ÇüÅ·ΠÈÖ¾îÁ® À־ ¿ø·¡ ÀÚ¼¼°¡ ³ª»Ú±â ¶§¹®À̶ó°í ´Ü¼øÇÏ°Ô »ý°¢ÇØ Ä¡·áÀÇ Çʿ伺À» ÀνÄÇÏÁö ¸øÇÏ´Â °æ¿ì°¡ ¸¹´Ù¡±¸ç ¡°¼ö¼úÀ» ÇØµµ Àå¾Ö¾Æµ¿ÀÇ »óŰ¡ È£ÀüµÇ¾î¼­ °É¾î´Ù´Ò Á¤µµÀÇ Á¤»óÀûÀÎ »ýȰÀ» ÇÏÁö ¸øÇÏ°Ô µÉ °ÍÀ̶ó´Â ºÎÁ¤ÀûÀÎ »ý°¢ ¶§¹®¿¡ ¾Æ¿¹ Ä¡·á¸¦ Æ÷±âÇÏ´Â °æ¿ìµµ ÀÖ´Ù¡±°í ÁöÀûÇß´Ù.

      ¼­ ±³¼ö´Â ¡°Ã´ÃßÃø¸¸ÁõÀº Á¶±âÄ¡·á ¹× ¼ö¼úÀû Ä¡·á°¡ °¡´ÉÇÑ º´ÀÌÁö¸¸ °í°¡ÀÇ ¼ö¼úºñ¿Í Àü¹®º´¿øÀÇ ºÎÁ·À¸·Î ¼ö¼úÀÌ ½±Áö ¾ÊÀº °ÍÀÌ Çö½Ç¡±À̶ó°í ¾ê±âÇÏ¸ç ¡°ÇöÀç Àå¾Ö¾ÆµéÀÇ Ã´Ã߰ǰ­ÀÌ ½É°¢ÇÑ ¼öÁØ¿¡ À̸£·¯ À̵鿡 ´ëÇÑ »çȸÀûÀÎ °ü½É°ú Á¤ºÎÂ÷¿øÀÇ Áö¿øÀÌ Àý½ÇÇÏ´Ù¡±°í °­Á¶Çß´Ù.

      ÀÌ¿¡ °í·Á´ë ±¸·Îº´¿ø ôÃßÃø¸¸Áõ¿¬±¸¼Ò´Â À̹ø °á°ú¸¦ ¹ÙÅÁÀ¸·Î ¼ö¼úÀÌ ½Ã±ÞÇÑ ¾î¸°À̵éÀ» ¼±Á¤ÇØ Áø·á¿Í ¼ö¼úÀ» ½ÃÇàÇÑ ÈÄ À̵¿¼øÈ¸ °ËÁø Â÷·®ÀÌ ¼ö¼ú ¾Æµ¿µéÀ» Á¤±âÀûÀ¸·Î ¹æ¹®ÇØ È¸º¹°úÁ¤À» °üÂûÇÏ´Â µî ¡®Àå¾Ö½Ã¼³ ôÃßÃø¸¸Áõ ¾î¸°ÀÌ ¹«·á ¼ö¼ú ¿îµ¿¡¯À» ÆîÄ¥ °èȹÀ̶ó°í ¹àÇû´Ù.

       

      / ÇコÁ¶¼± ÆíÁýÆÀ