ÄÜÅÃÆ®·»Áî »ç¿ëÀÚ ³ë¸®´Â °õÆÎÀÌ±Õ ÁÖÀǺ¸!

      ÀÔ·Â : 2006.04.14 13:37 | ¼öÁ¤ : 2006.12.19 16:33

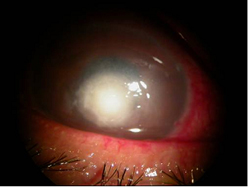
      °õÆÎÀ̱տ¡ ÀÇÇØ ´«ÀÌ °¨¿°µÈ ¸ð½ÀÀ¸·Î, °¢¸·À̽ÄÀ» ÇÏÁö ¾ÊÀ¸¸é ¾ÈµÉ Á¤µµ·Î ½É°¢ÇÑ ¼öÁØÀÌ´Ù.
      ÄÜÅÃÆ® ·»Áî Âø¿ëÀڵ鿡°Ô ºñ»óÀÌ °É·È´Ù. ÃÖ±Ù ¹Ì±¹¿¡¼­ ÄÜÅÃÆ® ·»Á ¼¼Ã´ÇÒ ¶§ »ç¿ëµÇ´Â ¹Ù½´·Ò»çÀÇ ¼¼Ã´¾×  ¡®¸®´º¡¯ÀÇ °õÆÎÀÌ±Õ °¨¿°ÀÌ ¹®Á¦°¡ µÇ°í Àֱ⠶§¹®ÀÌ´Ù.

      Áö³­ 4¿ù 10ÀÏ ¹Ì±¹ º¸°Ç´ç±¹Àº ÀÛ³â 6¾óºÎÅÍ ¿ÃÇØ 4¿ù 9ÀϱîÁö ¾à 10°³¿ù°£ ¹Ì±¹ 17°³ ÁÖ¿¡¼­ 109¸íÀÌ ´«¿¡ °õÆÎÀÌ ±ÕÀÌ ¹ß°ßµÆ´Ù´Â Á¶»ç °á°ú¸¦ ¹ßÇ¥Çß´Ù. °õÆÎÀÌ±Õ °¨¿° Àǽɻç·Ê Á¶»ç°¡ ³¡³­ 30°Ç Áß 28°ÇÀÌ ÄÜÅÃÆ® ·»Áî Âø¿ëÀÚ¿©¼­ ·»Áô¾×°ú Áø±Õ °¨¿°ÀÇ ¿¬°ü¼ºÀÌ ´ëµÎµÇ°í ÀÖ´Ù. ȯÀÚ Áß¿¡¼­´Â 26¸íÀÌ ¡®¸®´º¡¯¸¦ »ç¿ëÇϰí ÀÖ¾úÀ¸¸ç, ±× Áß 5¸íÀº ¸®´º¿Í ŸÁ¦Ç°À» Áߺ¹ »ç¿ëÇÑ °ÍÀ¸·Î º¸°íµÆ´Ù.

      ¹Ì±¹ ¹Ù½´·ÒÀº ¹®Á¦°¡ µÇ°í ÀÖ´Â ¡®¸®´º ¸ðÀ̽ºÃç¶ô¡¯ÀÇ »ý»êÀ» Áß´ÜÇÑ »óÅÂÀÌÁö¸¸ ¾ÆÁ÷ ¼Ò¸ÅÁ¡¿¡¼­´Â ÀϺΠ»óǰÀÇ ÆÇ¸Å°¡ ÀÌ·ïÁö°í Àֱ⠶§¹®¿¡ ¹Ì ½Ä¾àûÀº ÀÌ¿¡ ´ëÇѼҺñÀÚµéÀÇ ÁÖÀǸ¦ ¿ä±¸Çß´Ù. ±¹³» ½Ä¾àûµµ ¹Ù½´·ÒÄÚ¸®¾Æ¿¡ ¾ÈÀü¼º °ËÅ並 À§ÇÑ ÀÚ·á Á¦ÃâÀ» ±ä±Þ Áö½ÃÇß°í ÀÌ¿¡ °ü·Ã ÀڷḦ ¼öÁý, °ËÅäÇϰí ÀÖ´Ù°í ¹àÇû´Ù.

      ·»Áî¿¡ ÀÇÇÑ °õÆÎÀÌ ±ÕÀÇ °¨¿°Àº ´«¿¡ Ä¡¸íÀûÀÎ ¿µÇâÀ» ÁÙ ¼ö ÀÖ´Ù. ÀÛ°Ô´Â ´«ÀÇ Ãæ¿­À̳ª ÅëÁõÀ» ÁÙ ¼öµµ ÀÖÁö¸¸ ½ÉÇÑ °æ¿ì´Â °¢¸·À̽ÄÀ» ¹Þ¾Æ¾ß ÇÑ´Ù. À̹ø ¹Ì±¹ÀÇ È¯ÀÚµé Áß¿¡¼­µµ 8¸íÀº ½Ç¸íÀ» ÇÇÇϱâ À§ÇØ °¢¸·À̽ÄÀÌ ¿ä±¸µÇ´Â »óűîÁö ¾ÇÈ­µÆ´Ù. ·»Á Âø¿ëÇÏ´Â »ç¶÷ Áß¿¡¼­ ¡ã ´«ÀÌ È帮°Ô º¸ÀδÙ. ¡ã ´«ÀÌ ½Ã¸®°Å³ª ÅëÁõÀÌ ÀÖ´Ù ¡ã ºû¿¡ ´ëÇØ¼­ ¸Å¿ì ¹Î°¨ÇØÁ® ÀÖ´Ù ¡ã ÃæÇ÷ÀÌ ÀÖ´Â µîÀÇ Áõ»óÀÌ ³ªÅ¸³­´Ù¸é Àü¹®ÀÇ¿Í »óÀÇÇÏ´Â °ÍÀÌ ÁÁ´Ù.

      À̹ø¿¡ °¨¿°µÈ °õÆÎÀÌ ±ÕÀº ½Ä¹°À̳ª Åä¾ç¿¡¼­ ½±°Ô ¹ß°ßµÇ´Â ±ÕÀ̹ǷΠ¿¹¹æÀ» À§Çؼ­´Â Æò¼Ò ¼ÕÀ» ÀÚÁÖ ¾Ä´Â °ÍÀÌ ÁÁ´Ù. ¶ÇÇÑ ·»Áî Âø¿ë Àü¿¡ ºñ´©·Î ¼ÕÀ» ¾Ä´Â °ÍÀÌ ÁÁ°í, ¼ÕÀ» ¾ÄÀº ÈÄ¿¡´Â ²À ±ú²ýÇÏ°í ¸¶¸¥ ¼ö°ÇÀ¸·Î ¼Õ¿¡ ¹°±â¸¦ ¿ÏÀüÈ÷ Á¦°ÅÇÑ ÈÄ ·»Á Âø¿ëÇÏ´Â °ÍÀÌ ÁÁ´Ù. ·»Áî ¼¼Ã´ ½Ã ±ÍÂú¾Æ ±×³É ¼¼Ã´¾×°ú ÇÔ²² ´ã±Å µÎ±â¸¸ ÇÑ´Ù¸é °õÆÎÀÌ ±Õ¿¡ °É¸± È®·üÀÌ ³ô¾ÆÁø´Ù.

      ±ÍÂú´õ¶óµµ ²À ·»Á ¹®Áú·¯ ÀÜ¿© ´Ü¹éÁúÀ̳ª À̹°ÁúÀ» ¿ÏÀüÈ÷ Á¦°ÅÇÏ´Â °ÍÀÌ ÁÁ´Ù. ¶ÇÇÑ ·»Áî´Â ¼¼Ã´¾×¿¡ º¸°üÇÏÁö ¸»°í, Ç×±ÕÀÛ¿ëÀÌ ÀÖ´Â º¸Á¸¾×¿¡ º¸°üÇÏ¿©¾ß Çϸç, Âø¿ë ½Ã¿¡´Â º¸Á¸¾×À» ¼¼Ã´¾×À¸·Î Ç󱸰í Âø¿ëÇØ¾ß ÇÑ´Ù. ±×¸®°í ¾Æ¹«¸® Àå½Ã°£¿ë ·»Áî¶ó ÇÏ´õ¶óµµ ¿À·¡ Âø¿ëÇÏ´Â °ÍÀº ÁÁÁö ¾Ê´Ù. ·»Á ³¤ ä ÀáµéÁö ¾Ê´Â °Íµµ Áß¿äÇÏ´Ù.

      °í´ë¾È¾Ïº´¿ø ¾È°ú ±èÁ¤È¯ ±³¼ö´Â ¡°¿ì¸®ÀÇ ´«Àº Ç×»ó °õÆÎÀ̳ª ¼¼±Õ¿¡ ³ëÃâµÅ ÀÖÁö¸¸ Á¤»ó °¢¸· »óÇÇÁ¶Á÷À̳ª ´«¹°ÀÇ Ç×±Õ ÀÛ¿ë¿¡ ÀÇÇØ ÀûÀýÈ÷ °¨¿°À» Â÷´ÜÇϰí ÀÖ´Ù¡±°í ¼³¸íÇÏ¸ç ¡°ÇÏÁö¸¸ ¿À·£ ½Ã°£ ·»Á Âø¿ëÇѴٰųª Âø¿ë»óÅ·Π¼ö¸éÀ» ÇÏ°Ô µÇ¸é °¢¸·¿¡ »ê¼Ò°ø±ÞÀÌ Â÷´ÜµÇ°í ´«¹°¼øÈ¯ÀÌ ¿øÈ°È÷ µÇÁö ¾Ê¾Æ ¿ÜºÎ ±Õ¿¡ ´ëÇÑ ¹æ¾î´É·ÂÀÌ ¶³¾îÁö°Ô µÇ°í ±× °á°ú ´« Ç¥¸é¿¡ ÀÖ´ø ±ÕÀÌ Ä§ÅõÇÏ¿© ½Ç¸í±îÁöµµ °¡´ÉÇÑ °¨¿°¼º °¢¸·±Ë¾çÀ¸·Î ¹ßÀüÇÏ°Ô µÈ´Ù¡±°í °æ°íÇß´Ù.

      ·»Áî ÄÉÀ̽ºµµ 3°³¿ù¸¶´Ù ±³Ã¼ÇØ ÁÖ¾î¾ß ¾ÈÀüÇÏ´Ù. ·»Á ±¸ÀÔÇÒ ¶© ÀÚ½ÅÀÇ ´« »óÅ¿¡ ¸Â°Ô º´¿ø¿¡¼­ ó¹æÀ» ¹Þ¾Æ ·»Á Âø¿ëÇØ¾ß ÇÑ´Ù. °õÆÎÀÌ±Õ °¨¿°Àº ½Ã·ÂÀ» ÀÒ´Â »óűîÁö °¡Áö´Â ¾Ê´õ¶óµµ 2~3´Þ Á¤µµÀÇ Ä¡·á°¡ ÇÊ¿äÇϹǷΠ¹Ì¸® ¿¹¹æÇÏ´Â °ÍÀÌ ÃÖ¿ì¼±ÀÌ´Ù.

      / ÀÌÇöÁÖ ÇコÁ¶¼± ±âÀÚ jooya@chosun.com