¿îµ¿,¼ö¼ú,¾à ¾øÀ̵µ ¹î»ì »©´Â ¹æ¹ý ³ª¿Ô´Ù

      ÀÔ·Â : 2006.05.25 16:01


      ºñ¸¸, ±× Áß¿¡¼­µµ º¹ºÎ ºñ¸¸Àº ¿Â ±¹¹ÎÀÇ È­µÎ¶ó°í ÇØµµ °ú¾ðÀÌ ¾Æ´Ï´Ù. ÃÖ±Ù¿¡´Â ¼ö¼ú ¾øÀÌ Áö¹æ¼¼Æ÷¸¦ ÆÄ±«ÇÏ´Â ¡®Ã¼¿ÜÃæ°ÝÆÄ Áö¹æ¼¼Æ÷ÆÄ±«¼ú¡¯ÀÌ ³ª¿Í ÁÖ¸ñÀ» ²ø°í ÀÖ´Ù.

      ¾Æ¸§´Ù¿î³ª¶ó ÇǺΰú¼ºÇü¿Ü°ú ºÎ¼³ ºñ¸¸¼¾ÅÍ´Â 61¸í¿¡ ´ëÇØ ÄÁÅõ¾î¸¦ ÀÌ¿ëÇÑ Ã¼¿ÜÃæ°ÝÆÄ Áö¹æ¼¼Æ÷ÆÄ±«¼úÀ» ½ÃÇàÇÑ °á°ú ´Ü 1ȸ¸¸À¸·Î º¹ºÎ µÑ·¹°¡ 4~6§¯ °¨¼ÒÇÑ È¯ÀÚ°¡ 14.8%, 2~4§¯ °¨¼ÒÇÑ È¯ÀÚ´Â 65.6%¸¦ Â÷ÁöÇß´Ù°í ¹àÇû´Ù. ´õ¿íÀÌ 5°³¿ùÀÌ Áö³ªµµ ÀÌ·¯ÇÑ ¼öÄ¡´Â ºñ½ÁÇÏ°Ô À¯ÁöµÇ¾î Áö¹æÆÄ±« È¿°ú°¡ Áö¼ÓµÇ´Â °ÍÀ¸·Î ³ªÅ¸³µ´Ù. Àå°¡¿¬¡¤¼­µ¿Çý ¹Ú»çÆÀÀº ÀÌ·¯ÇÑ °á°ú¸¦ ¿Ã °¡À» È£ÁÖ¿¡¼­ ¿­¸®´Â ¼¼°è¹Ì¿ëÇÐȸ¿¡ ¹ßÇ¥ÇÒ ¿¹Á¤ÀÌ´Ù.

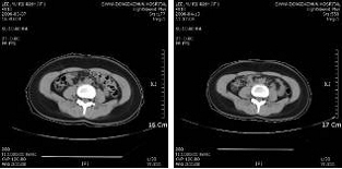
      ½Ã¼ú ÀüÈÄ CTÃÔ¿µÀ¸·Î ÇÇÇÏÁö¹æÃþÀÇ º¯È­¸¦ °üÂûÇÑ ¸ð½À. ½Ã¼ú Àü ÇÇÇÏÁö¹æÃþÀÇ ´Ü¸éÀûÀÌ 224.09§²¿¡¼­ 200.92§²·Î ÁÙ¾îµé¾ú´Ù.
      »çÃá±â ÀÌÈĺÎÅÍ °ÅÀÇ º¯ÇÏÁö ¾Ê´Â Áö¹æ ¼¼Æ÷¼ö¸¦ ÁÙÀÌ´Â ¹æ¹ýÀ¸·Î´Â Áö±Ý±îÁö Áö¹æÈíÀÔ¼úÀÌ À¯ÀÏÇß´Ù. ±×·¯³ª ¸Þ½º¸¦ ´ë¾ß Çϰí, ¼ö¼ú ÈÄ ¸ÛÀ̳ª ÈäÅͰ¡ »ý±â°í, ÀÏÁ¤±â°£ º¹´ë¸¦ Âø¿ëÇØ¾ß ÇÏ´Â µîÀÇ ´ÜÁ¡ÀÌ ÀÖ¾ú´ø °ÍÀÌ »ç½ÇÀÌ´Ù.

      À̹ø¿¡ ¾Æ¸§´Ù¿î³ª¶ó ÇǺΰú¿¡¼­ ±¹³» ÃÖÃÊ·Î µµÀÔµÈ Ã¼¿ÜÃæ°ÝÆÄ Áö¹æ¼¼Æ÷ÆÄ±«¼úÀº ¿ä·Î°á¼®À» Ä¡·áÇÏ´Â µ¥ Ȱ¿ëµÇ´Â ¼â¼®¼ú°ú ºñ½ÁÇÑ ¿ø¸®´Ù. °­ÇÑ ÃÊÀ½ÆÄ¸¦ ¹Ì»çÀÏó·³ Á¤Á¶ÁØÇÏ¿© ½Ã¼ú ºÎÀ§¿¡ ½÷ ÁÜÀ¸·Î½á Ç÷°üÀ̳ª ½Å°æ, ÇǺΠÁ¶Á÷ÀÇ ¼Õ»ó¾øÀÌ Áö¹æ¼¼Æ÷¸¸ ¼±ÅÃÀûÀ¸·Î ÆÄ±«ÇÏ´Â ¹æ¹ýÀÌ´Ù. Áö¹æ¼¼Æ÷ÀÇ ¼ýÀÚ°¡ ÁÙ¾îµé±â ¶§¹®¿¡ Àß °ü¸®¸¸ ÇØ ÁÖ¸é ¿ä¿äÇö»óµµ ¾ø´Ù.

      Àå°¡¿¬ ¹Ú»ç´Â ¡°¸¶Ä¡ ¿À·»Áö¸¦ ±îÁö ¾Ê°í ¿À·»Áö ¾Ë°»À̸¦ ÅͶ߸®´Â °Íó·³ Áö¹æ¼¼Æ÷¸·ÀÌ ÅÍÁö°Ô µÈ´Ù¡±¸ç ¡°ÆÄ±«µÈ Áö¹æ¼¼Æ÷´Â 1°³ÀÇ ±Û¸®¼¼·Ñ°ú 3°³ÀÇ Áö¹æ»êÀ¸·Î ºÐÇØµÇ¾î ¸²ÇÁ¼øÈ¯°è¸¦ ÅëÇØ °£À¸·Î Àü´ÞµÈ µÚ ´ãÁóÀÇ ÇüÅ·Πü¿Ü·Î ¹è¼³µÈ´Ù¡±°í ¿ø¸®¿¡ ´ëÇØ ¼³¸íÇß´Ù.

      º¹ºÎ Á¤¸é¿¡¼­ ÃÔ¿µÇÑ »çÁøÀ¸·Î Ä¡·á Àü°ú 1ȸ Ä¡·á 1°³¿ù ÈÄ ¸ð½À

      ¼ö¼ú°ú ´Þ¸® ÅëÁõÀÌ ÀüÇô ¾øÀ¸¸ç, µû¶æÇÏ´Ù´Â Á¤µµÀÇ ´À³¦À¸·Î Æí¾ÈÇÏ°Ô Ä¡·á¹ÞÀ» ¼ö ÀÖ´Ù´Â °Íµµ Ư¡ÀÌ´Ù. ÀÌ·¯ÇÑ Ã¼¿ÜÃæ°ÝÆÄ Áö¹æÆÄ±«¼¼Æ÷¼úÀº Áö¹æÀÌ ³Ð°Ô ºÐÆ÷µÇ¾î ÀÖ´Â º¹ºÎ, Çã¹÷Áö, ¿·±¸¸®, ¾ûµ¢ÀÌ µîÀÇ Áö¹æ Á¦°Å¿¡ ƯÈ÷ È¿°úÀûÀÎ ´ë½Å, ¾ó±¼À̳ª ÆÈ¶Ò °°ÀÌ Á¼°í °¡´À´Ù¶õ ºÎÀ§´Â ÀûÇÕÇÏÁö ¾Ê´Ù. 

      ÇöÀç À¯·´À̳ª ÀϺ»À» ºñ·ÔÇÑ 20¿©°³ ±¹°¡¿¡¼­ ÀÌ¿Í °°Àº ½Ã¼úÀÌ »ç¿ëµÇ°í ÀÖÀ¸¸ç, ¹Ì±¹ÀÇ °æ¿ì´Â ¿ÃÇØ ¾ÈÀ¸·Î FDA½ÂÀÎÀ» ¾òÀ» °ÍÀ¸·Î º¸°í ÀÖ´Ù. º´¿ø ÃøÀº ¸ÓÁö ¾Ê¾Æ ÀÌ¿Í °°Àº ½Ã¼úÀÌ Áö¹æÈíÀÔ¼úÀ» ´ëüÇÒ °ÍÀ̶ó°í Àü¸ÁÀ» ¹àÇû´Ù.

      ±×·¯³ª ÀÌ ½Ã¼ú¹ýÀº ¸î °¡Áö »çÇ×µéÀÌ ÇѰè·Î ÁöÀûµÇ°í ÀÖ´Ù. ¿ì¼± ÄÁÅõ¾î ±â°èÀÇ Æ¯¼º»ó ÇÇÇÏÁö¹æÀº ÆÄ±«µÇÁö¸¸ ¸ö ¼Ó ±í¼÷È÷ ÀÚ¸®Çϰí ÀÖ´Â ³»ÀåÁö¹æÀº Á¦°ÅÇÏ±â ¾î·Æ´Ù´Â °ÍÀÌ´Ù. ³»ÀåÁö¹æÀÌ ½×¿© ¹è°¡ ³ª¿Â ¸¶¸¥ ºñ¸¸ÀÎ °æ¿ì´Â ÀÌ¿Í °°Àº ½Ã¼ú¹ýº¸´Ù´Â ¿îµ¿À̳ª ½ÄÀÌ¿ä¹ýÀÌ ´õ ÀûÇÕÇÏ´Ù. ¶ÇÇÑ 1ȸ 400¸¸¿øÀ̳ª µÇ´Â °í°¡ÀÇ ºñ¿ëµµ ¹®Á¦´Ù. ¹è°¡ ¸¹ÀÌ ³ª¿Í¼­ ¸éÀûÀÌ ³Ð°Å³ª, Áö¹æÀÌ µÎ²¨¿ö¼­ ½Ã°£À» µÎ°í ¿©·¯ ¹ø ½Ã¼ú¹ÞÀ» °æ¿ì ºñ¿ëÀÌ 1000¸¸¿øÀ» Èǽ ³Ñ°Ô µÈ´Ù. º´¿øÃøÀº ¡°ÇâÈÄ ´õ ¸¹Àº º´¿ø¿¡¼­ ½Ã¼úÇÏ°Ô µÇ¸é °¡°ÝÀÌ ³·¾ÆÁú ¼ö ÀÖÁö¸¸ ÇöÀç·Î¼­´Â ¿ö³« °í°¡ÀÇ Àåºñ¶ó ¾î¿ ¼ö ¾ø´Ù¡±°í ¸»Çß´Ù.

      /ÀÌÇöÁÖ ÇコÁ¶¼± ±âÀÚ jooya@chosun.com