¾Ï ȯÀÚ ÃÖ´ë °íÅë ¡®±¸³»¿°¡¯ Ä¡·á¹ý ã¾Ò´Ù

      ÀÔ·Â : 2007.04.18 10:58 | ¼öÁ¤ : 2007.04.18 11:00

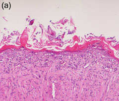
      EGF¸¦ ¹Ù¸£Áö ¾ÊÀº ÁãÀÇ ±¸°­Á¡¸·

      ¾Ï ȯÀÚµéÀÌ ¹æ»ç¼± Ä¡·á ÈÄ ¾ò±â ½¬¿î ÀÔ¾È ¿°Áõ(±¸³»¿°)À» È¿°úÀûÀ¸·Î Ä¡·áÇÒ ¼ö ÀÖ´Â Ä¡·áÁ¦°¡ ¼¼°è ÃÖÃÊ·Î °³¹ßµÆ´Ù. ±¸³»¿°Àº ±¸°­Á¡¸·¿¡ ¿°ÁõÀÌ »ý°Ü ±Ë¾çÀ̳ª ¹ßÀû, ½ÉÇÑ ÅëÁõÀ» À¯¹ßÇØ ¾Ï ȯÀÚÀÇ ½Ä¿åÀ» ¶³¾î¶ß¸®°í üÁßÀ» °¨¼Ò½ÃŲ´Ù.

      ¼­¿ï¾Æ»êº´¿ø ¹æ»ç¼±Á¾¾çÇаú ÀÌ»ó¿í ±³¼öÆÀÀº ´ç´¢º´¼º Á·ºÎ±Ë¾ç Ä¡·áÁ¦ ¡®ÀÌÁö¿¡ÇÁ(¼ººÐ¸í : EGF)¡¯°¡ ¹æ»ç¼± Ä¡·á·Î À¯¹ßµÇ´Â ±¸³»¿° ȸº¹¿¡µµ ¿ì¼öÇÑ È¿°ú¸¦ ³ªÅ¸³½´Ù´Â ¿¬±¸°á°ú¸¦ ¹ßÇ¥Çß´Ù. 

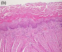
      EGF¸¦ ¹Ù¸¥ ÁãÀÇ ±¸°­Á¡¸·

      ¿¬±¸ÆÀÀº ¹æ»ç¼±À» Á¶»çÇÑ ÈÄ EGF¸¦ ¹Ù¸¥ Áã¿Í ±×·¸Áö ¾ÊÀº Áã °¢°¢ÀÇ »ýÁ¸À², üÁߺ¯È­ ¹× »ç·á¼·Ãë·®À» ¹æ»ç¼± Á¶»ç ÈÄ 7Àϰ¿Í 18Àϰ ÁãÀÇ ±¸°­Á¡¸·À» °üÂûÇß´Ù.

      ±× °á°ú EGF¸¦ ¹Ù¸¥ ÁãÀÇ ±¸°­ ³» Á¡¸·Àº Á¤»ó ÁãÀÇ Á¡¸·°ú ¸ðµÎ À¯»çÇÏ°Ô È¸º¹µÈ ¹Ý¸é ¾Æ¹«·± óġ¸¦ ÇÏÁö ¾ÊÀº Áã¿¡¼­´Â ½ÉÇÑ À§¸·¼º ¶Ç´Â ±Ë¾ç¼º ±¸³»¿°ÀÌ °üÂûµÆ´Ù.

      ƯÈ÷ EGF¸¦ µµÆ÷ÇÑ Áã 12¸¶¸®´Â ¼Õ»óµÈ Á¡¸·ÀÌ »¡¸® ȸº¹µÇ¾î À½½Ä ¼·Ãë°¡ °¡´ÉÇØÁüÀ¸·Î½á ¹æ»ç¼± Ä¡·á·Î ÀÎÇØ ÀúÇÏµÈ Ã¼ÁßÀÌ ¹æ»ç¼± Á¶»ç ÈÄ 9ÀϰºÎÅÍ ´Ù½Ã Áõ°¡Çß°í, 12¸¶¸® Áß 4¸¶¸®°¡ ¹æ»ç¼± Á¶»ç ÈÄ 18Àϰ±îÁö »ýÁ¸ÇÏ¿© 33%ÀÇ »ýÁ¸À²À» ³ªÅ¸³Â´Ù. ¹Ý¸é EGF¸¦ µµÆ÷ÇÏÁö ¾ÊÀº Áã 12¸¶¸®´Â ¸ðµÎ 10ÀÏ À̳»¿¡ »ç¸ÁÇß´Ù.

      ÀÌ ±³¼ö´Â ¡°Áö±Ý±îÁö ¹æ»ç¼± Ä¡·á ÈÄ ¹ß»ýÇÏ´Â ±¸³»¿°Àº ȯÀÚµéÀÇ À½½Ä ¼·Ã븦 °¨¼Ò½Ã۰í Ä¡·á ÀÇÁö¸¦ ³·Ãç ½ÉÇÑ °æ¿ì¿¡´Â »ç¸Á¿¡ À̸£´Â °æ¿ì ÀÖ¾ú´Ù¡±¸ç ¡°EGF°¡ ¹æ»ç¼± Ä¡·á¸¦ ¹Þ°í ÀÖ´Â ¾Ï ȯÀÚÀÇ Ä¡·á ¹× »îÀÇ Áú Çâ»ó¿¡ Å©°Ô ±â¿©¸¦ ÇÒ °Í¡±À̶ó°í ¹àÇû´Ù.

      À̹ø ¿¬±¸°á°ú´Â ¼¼°èÀûÀÎ ±ÇÀ§¸¦ ÀÚ¶ûÇÏ´Â SCI µîÀç ±¹Á¦ ÇмúÁöÀÎ ¹Ì±¹ ¹æ»ç¼±Á¾¾çÇÐȸÁö(International Journal of Radiation Oncology Biology and Physics) 3¿ùÈ£¿¡ Á¤½ÄÀ¸·Î °ÔÀçµÆ´Ù.


      /ÇコÁ¶¼± ÆíÁýÆÀ