³» ¾È¿¡ ÀÌ»óÇÑ »À°¡ ÀÖ´Ù?

      ÀÔ·Â : 2008.11.28 16:52

      °Ü¿ï ½ºÆ÷Ã÷ ½ÃÁðÀ» ¾ÕµÎ°í °üÀý ºÎ»ó¿¡ ´ëÇÑ °ü½ÉÀÌ ³ô¾ÆÁö°í ÀÖ´Â °¡¿îµ¥ ¡®ºñ°ñÇÏ ºÎ°ñ¡¯À̶ó´Â »ý¼ÒÇÑ ÁúȯÀÌ ÁÖ¸ñÀ» ¹Þ°í ÀÖ´Ù.

      ´ëºÎºÐÀÇ È¯ÀÚµéÀÌ ÀÚ½ÅÀÌ ¡®ºñ°ñÇÏ ºÎ°ñ¡¯À̶ó´Â °ÍÀ» ÀÎ½Ä ¸øÇÒ »Ó¸¸ ¾Æ´Ï¶ó Ä¡·áµµ ¼ö¼úÀû Ä¡·á ¿Ü¿¡´Â º°´Ù¸¥ ¹æ¹ýÀÌ ¾ø¾î ¼¼½ÉÇÑ ÁÖÀǰ¡ ¿ä±¸µÇ°í ÀÖ´Ù. 

      ¾ÆÁ÷ ÀϹÝÀε鿡°Ô ³¸¼± ¡®ºñ°ñÇÏ ºÎ°ñ¡¯. ¿ø·¡ Á¤»óÀûÀÎ »À°¡ ¾Æ´Ñ Ãß°¡ÀûÀ¸·Î Á¸ÀçÇÏ´Â »À°¡ ºÎ°ñ(accessory bone)ÀÌ´Ù.

      »ç½Ç ºÎ°ñÀº Á¤»óÀÎ Áß¿¡¼­ ¼±ÃµÀûÀÎ °æ¿ì(ºÎÁÖ»ó°ñ)¸¦ Æ÷ÇÔÇØ ¾à 20% Á¤µµ ¹ß°ßµÉ Á¤µµ·Î ÈçÇÏ´Ù. º¸Åë 10¼¼ ÀüÈÄ ³ªÅ¸³ª 20¼¼ Á¤µµ Çü¼ºÀÌ ¸ØÃá´Ù.

      ¸ðµç ºÎ°ñÀÌ ÅëÁõÀ» À¯¹ßÇϰųª ¼ö¼úÀÌ ¹Ýµå½Ã ÇÊ¿äÇÑ °ÍÀº ¾Æ´ÏÁö¸¸ ¡®ºñ°ñÇÏ ºÎ°ñ¡¯Àº ÀÚÄ© °¡º±°Ô ¿©°å´Ù°¡ Å« ³¶ÆÐ¸¦ º¼ ¼ö ÀÖ´Ù. ƯÈ÷ ¹ß¸ñ ºÎ»óÀ» ÀԱ⠽¬¿î °Ü¿ïö¿¡´Â ´õ¿í ±×·¸´Ù.

      ºñ°ñÇÏ ºÎ°ñÀ̳ª ºÎÁÖ»ó°ñ µî ¿øÀÎ ºÒ¸íÀ̳ª ¼±ÃµÀûÀ¸·Î ¹ß¸ñ ±¸Á¶¿¡ ÀÌ»óÀÌ ÀÖ´Â °æ¿ì °ñ°ÝÀÌ ¿Ï¼ºµÇ´Â û¼Ò³â±â¿¡ ÀûÀýÇÑ Ä¡·á¸¦ ¹Þ¾Æ¾ß ÇÑ´Ù.

      ´Ù¸®»À µÚ ÈçÈ÷ Á¾¾Æ¸®»À¶ó°í ºÎ¸£´Â ºñ°ñ ¾Æ·¡, Áï º¹¼þ¾Æ»À¿Í ¹ß¸ñ ±Ùó¿¡ Á¾Á¾ ¹ß°ßµÇ´Â °ÍÀ» ¡®ºñ°ñÇÏ ºÎ°ñ¡¯À̶ó°í ÀÏÄ´´Ù.

      ºñ°ñÇÏ ºÎ°ñÀÌ ¹®Á¦°¡ µÇ´Â ÀÌÀ¯´Â ÁÖº¯ ÀÎ´ë ¼Õ»ó°ú ¹ß¸ñ °üÀýÀÇ ºÒ¾ÈÁ¤È­¸¦ ÃÊ·¡ÇÏ¿© ÀæÀº ¹ß¸ñ ¿°Á¸¦ À¯¹ßÇÒ ¼ö Àֱ⠶§¹®ÀÌ´Ù. ºÎ°ñÀÌ Á¡Á¡ ÀÚ¶ó¸é¼­ ÁÖÀ§¿¡ °¨½Î°í ÀÖ´Â Àδ븦 ´Ã¸®°Å³ª, °íÁ¤µÇ¾î ÀÖÁö ¾Ê°í ÁÖº¯ ¹ß¸ñ °üÀý°ú ¸¶ÂûÀ» ÀÏÀ¸Å³ ¼ö ÀÖ´Ù.

      ¸¸¾à ¼ºÀÎ ÀÌÈÄ ºñ°ñÇÏ ºÎ°ñÀÌ ¹®Á¦¸¦ ÀÏÀ¸Ä×´Ù¸é, ¹ß¸ñ °üÀý°ú Àδë´Â ½É°¢ÇÑ ¼öÁØ¿¡ À̸¥ °æ¿ì°¡ ´ëºÎºÐÀÌ´Ù.

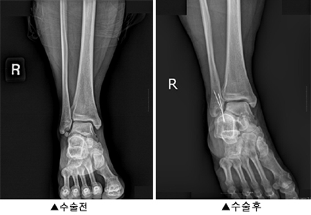
      ¾ÆÁ÷ ¹ß»ý ¿øÀÎÀº ¸íÈ®ÇÏ°Ô ¹àÇôÁöÁö ¾Ê°í ÀÖ´Ù. º¸Åë ¿ì¿¬È÷ X·¹ÀÌ·Î ¹ß°ßÇÒ Á¤µµ·Î »çÀü Áø´Üµµ ¾î·Æ´Ù. Ä¡·á¹ýµµ ÇöÀç·Î¼­´Â ¼ö¼úÀû Ä¡·á°¡ ÃÖ¿ì¼±À̶ó´Â °ÍÀÌ ÇаèÀÇ ÀǰßÀÌ´Ù.

      ¼ö¼úÀû Ä¡·á´Â ºÎ°ñÀÇ À§Ä¡¸¦ À̵¿ °íÁ¤½ÃÄÑÁְųª, ¾Æ¿¹ Á¦°ÅÇÏ´Â ¼ö¼ú µîÀÌ ÀÖ´Ù. »Ó¸¸ ¾Æ´Ï¶ó ÀÎ´ë º¹¿ø¼ú ¶Ç´Â Àç°Ç¼úÀÌ ÇÔ²² ÀÌ·ïÁ®¾ß ¿ÏÀüÇÑ Ä¡·á°¡ °¡´ÉÇÏ´Ù.

      º¹¿ø¼ú°ú Àç°Ç¼úÀÇ Â÷ÀÌ´Â ÀÎ´ë »óÅ¿¡ µû¶ó ´Ù¸£´Ù. ÀÎ´ë ¼Õ»ó »óŰ¡ °æ¹ÌÇÏ¿© °£´ÜÇÑ ºÀÇÕ¼ú·Îµµ ¿ø·¡ »óÅ·Πµ¹¾Æ°¡°Ô ÇÏ´Â °ÍÀÌ º¹¿ø¼úÀ̰í, ¼Õ»ó »óŰ¡ ½É°¢ÇÏ¿© ´Ù¸¥ Àδ븦 À̽ÄÇϰųª ´Ù¸¥ ½Åü ºÎÀ§·Î ´ëüÇÏ´Â °ÍÀÌ Àç°Ç¼úÀÌ´Ù.

      ¿¹Àü¿¡´Â ¼ö¼ú ½Ã°£µµ ¿À·¡ °É¸®°í ȯÀÚ¿¡°Ôµµ ºÎ´ãÀÌ µÇ¾úÁö¸¸, ÃÖ±Ù °üÀý°æÀ¸·Î ÀÌ¿ëÇÏ¿© ÃâÇ÷µµ Àû°í, ¼ö¼ú½Ã°£°ú ȸº¹ ½Ã°£ÀÌ ¸¹ÀÌ ´ÜÃàµÇ¾ú´Ù.

      ÇöÀç ¡®ºñ°ñÇÏ ºÎ°ñ¡¯ ¼ö¼úÀ» ¹ÞÀº °æ¿ì´Â ¿îµ¿ ¼±¼öµéÀÌ ´ëºÎºÐÀÌÁö¸¸ ÃÖ±Ù µé¾î ½ºÆ÷Ã÷ Àα¸ÀÇ Áõ°¡·Î ÀϹÝÀε鵵 ±× ¼ö°¡ Áõ°¡Çϰí ÀÖ´Â Ãß¼¼´Ù.

      ºñ¸¸ Àα¸ÀÇ Áõ°¡µµ ¶Ç ´Ù¸¥ ¿øÀÎÀ¸·Î ¶°¿À¸£°í ÀÖ´Ù. ¿îµ¿ ºÎÁ·À¸·Î ¾àÇØÁø ¹ß¸ñÀÌ ºÒ¾î³ª´Â üÁßÀ» Á¦´ë·Î ÁöÅÊÇÏÁö ¸øÇϱ⠶§¹®Àε¥, À̸¦ µÎ°í ¡®ºñ°ñÇÏ ºÎ°ñ¿¡ ÀÇÇÑ ºÎ»ó¡¯À» ¼±Áø±¹Çü Áúº´À̶ó°íµµ ºÎ¸¥´Ù.

      º¸Åë ¿îµ¿ ¼±¼öµéÀº ¾î·ÈÀ» ¶§ºÎÅÍ ¼±¼ö »ý¸íÀ» À§ÇØ Á¤±âÀûÀÎ º´¿ø °ËÁø°ú Á¶±â ¼ö¼úÀÌ °¡´ÉÇÏ´Ù. ¹Ý¸é ÀϹÝÀεéÀº Æò»ý ¸ð¸£°í Áö³¾ »Ó¸¸ ¾Æ´Ï¶ó ¿ÀÈ÷·Á ¿îµ¿ ¼±¼öº¸´Ù ½É°¢ÇÑ ¼öÁØ¿¡ À̸¦ °¡´É¼ºÀÌ ³ô´Ù. Àü¹®ÀÇ »ó´ãÀ» ÅëÇØ Á¶±â ¹ß°ßÇÏ¿© ±×¿¡ µû¸¥ ó¹æÀ» ¹Þ´Â °ÍÀÌ Áß¿äÇÏ´Ù.


      /ÀÎõ³ª´©¸®º´¿ø Á¤Çü¿Ü°ú ȲÇʼº °úÀå