öºÐ º¸ÃæÁ¦¡¤¿øµÎÄ¿ÇÇ¡¦ Ä¡¾Æ Âø»öÀÇ ¿øÀÎ

    ÀÔ·Â : 2009.01.20 16:11

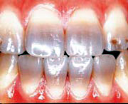
    ¾àǰ¿¡ ÀÇÇØ ûȸ»öÀ¸·Î º¯»öµÈ Ä¡¾Æ./ÇコÁ¶¼± DB
    Èñ°í ±ú²ýÇÑ Ä¡¾Æ´Â ¸ðµç À̵éÀÌ °®°í ½Í¾îÇÑ´Ù. ÇÏÁö¸¸ Ä¡¾Æ°¡ ³ë¶õ»ö, ¶Ç´Â ȸ»ö µîÀ¸·Î º¯»öµÇ´Â Çö»óÀº ¼ºÀεé»Ó ¾Æ´Ï¶ó ½ÉÁö¾î Á¥´Ï(À¯Ä¡)¿¡¼­µµ »ý±æ ¼ö ÀÖ´Ù. Âø»ö(ó·ßä)Àº ³ëÈ­¿Í ¾Æ¿ï·¯ Ä¡¾Æ º¯»öÀÇ ´ëÇ¥ÀûÀÎ ¿øÀÎÀ̱⠶§¹®ÀÌ´Ù. Ä¡¾Æ º¯»öÀÇ ¿øÀÎÀº ¸Å¿ì ´Ù¾çÇÏ´Ù.

    °¡Àå ´ëÇ¥ÀûÀÎ °ÍÀÌ ³ëÈ­´Ù. ³ªÀ̰¡ µé¸é ´Ù¸¥ Ưº°ÇÑ ¿øÀÎÀÌ ¾ø¾îµµ Ä¡¾Æ´Â Á¡Á¡ ´õ Å¹ÇØÁö°í ³ë¶õ»öÀ» ¶í´Ù.

    Â÷¿Í Ä¿ÇÇ µî¿¡ µç ź´Ñ»ê, ¿ÍÀÎ, Ä«·¹, Äݶó µî¿¡ µç »ö¼Òµµ Ä¡¾Æ º¯»öÀ» ÀÏÀ¸Å³ ¼ö ÀÖ´Ù. Èí¿¬µµ Ä¡¾Æ¸¦ °¥»ö ¶Ç´Â Èæ»öÀ¸·Î º¯ÇÏ°Ô ÇÒ ¼ö ÀÖ´Ù.

    ¼¼±ÕÀÌ ÀÏÀ¸Å°´Â Âø»ö Çö»óµµ ÀÖ´Ù. ±¸°­ À§»ýÀÌ ºÒ·®Çϸé Ä¡¾Æ°¡ ÃÊ·Ï»ö, Èæ°¥»ö, ÁÖȲ»öÀ¸·Î »ö±òÀÌ º¯ÇÒ ¼ö Àִµ¥ ÀÌ´Â »ö¿ø¼º(ßäê«àõ) ¼¼±Õ¿¡ ÀÇÇÑ °ÍÀÌ´Ù. ¼¼±Õ¿¡ ÀÇÇÑ º¯»öÀº ¾ÆÀ̵鿡°Ô Àß ³ªÅ¸³­´Ù.

    È­Çй°Áú¿¡ ÀÇÇØ¼­µµ Âø»öÀÌ ³ªÅ¸³¯ ¼ö ÀÖ´Ù. Ŭ·Î·ÎÇí½ÃµòÀ» ÇÔÀ¯ÇÑ ±¸°­¼¼Á¤Á¦¸¦ Àå±â°£ »ç¿ëÇϸé Ä¡¾Æ Ç¥¸é¿¡ Èæ»ö ¶Ç´Â °¥»öÀÇ Âø»ö Çö»óÀÌ ³ªÅ¸³ª´Â °ÍÀ¸·Î ¾Ë·ÁÁ® ÀÖ´Ù.

    ¾à¹°µµ Ä¡¾Æ Âø»öÀÇ ¿øÀÎÀÌ µÉ ¼ö ÀÖ´Ù. öºÐ º¸ÃæÁ¦¸¦ ¼·ÃëÇϸé Ä¡¾Æ¿Í Çô¿¡ °ËÀº Âø»öÀÌ ³ªÅ¸³¯ ¼ö ÀÖÀ¸¸ç, Åׯ®¶ó½ÎÀÌŬ¸° Á¾·ùÀÇ ¾à¹°Àº Ä¡¾Æ ³»ÀÇ Ä®½·°ú °áÇÕÇØ Ä¡¾Æ¸¦ º¯»ö½Ãų»Ó ¾Æ´Ï¶ó ÇÞºµ¿¡ ³ëÃâµÇ¸é ´õ ½ÉÇØÁú ¼ö ÀÖÀ¸¹Ç·Î ÀÌµé ¾à¹°À» º¹¿ëÇÒ ¶§´Â ÁÖÀÇÇØ¾ß ÇÑ´Ù. ƯÈ÷ ÀӽŠÁß¿¡ ÀÌ·± ¾à¹°À» º¹¿ëÇϸé žÆÀÇ Ä¡¾Æ º¯»öÀ» ÀÏÀ¸Å³ ¼öµµ ÀÖÀ¸¹Ç·Î ÀӽŠÁß¿¡´Â ÀÌµé ¾à¹°À» º¹¿ëÇÏÁö ¸»¾Æ¾ß ÇÑ´Ù.

    ±×¹Û¿¡ Ä¡¿­ ±³Á¤À» À§ÇÑ ºê¶óÄÏÀ» Âø¿ëÇÒ ¶§, Ä¡¾ÆÀÇ ½Å°æÀÌ ¼Õ»óÀ» ¹Þ¾Æ ±«»çµÈ °æ¿ì³ª Ä¡¼ö ÃâÇ÷ÀÌ ÀϾ ¶§ µî¿¡µµ Ä¡¾Æ º¯»öÀÌ ³ªÅ¸³¯ ¼ö ÀÖ´Ù.

    Âø»öÀÌ ÀϾ Ä¡¾Æ¸¦ ¿ø»óȸº¹ÇÏ·Á¸é Ä¡°úÀÇ»ç¿Í »ó´ãÀ» ÅëÇØ ¹Ì¹é Ä¡·á¸¦ ¹Þ¾Æ¾ß ÇÑ´Ù. ´Ù¸¸ º¯»öÀÇ ¿øÀÎÀ» ã¾Æ °³¼±ÇÏÁö ¾ÊÀ¸¸é ¹Ì¹éÄ¡·á¸¦ ¹ÞÀº µÚ ¾ó¸¶ ÀÖÁö ¾Ê¾Æ ¶Ç º¯»öµÉ ¼ö ÀÖ´Ù.

    Ä¡¾ÆÀÇ °Ç°­»Ó ¾Æ´Ï¶ó ¾Æ¸§´Ù¿òÀ» À§Çؼ­µµ ¿Ã¹Ù¸¥ Ä©¼ÖÁúÀº Àý´ëÀûÀÌ´Ù. Ä¡¾Æ Âø»öÀ» ÀÏÀ¸Å°´Â ½ÄÀ½·á¸¦ ¼·ÃëÇÑ µÚ¿¡´Â 3ºÐ À̳»¿¡ ²À Ä©¼ÖÁúÀ» ÇØ¾ß ÇÑ´Ù. Ä¡¾Æ Âø»öÀÌ ½ÉÇÏ´Ù¸é Ä¿ÇÇ, ¿ì·ÕÂ÷, È«Â÷, ¿ÍÀÎ, Äݶó µîÀ» °¡±ÞÀû ¸¶½ÃÁö ¸»°í, ¸¶¼Å¾ß ÇÒ »óȲÀ̶ó¸é ¹°·Î ÀÔ¾ÈÀ» Ç󱸴 ½À°üÀ» µé¿©¾ß ÇÑ´Ù. ¿øµÎÄ¿Çdzª ºÐ¸»ÇüÅÂÀÇ Â÷°¡ ÀνºÅÏÆ® Ä¿Çdzª Â÷º¸´Ù Ä¡¾Æ º¯»öÀ» ´õ ¸¹ÀÌ ÀÏÀ¸Å²´Ù´Â Á¡µµ ¾Ë¾ÆµÎ¸é ÁÁ´Ù.