¼Õ»óµÈ ¹«¸­°üÀý ÀϺΠÀΰø°üÀý ´ëü 4~6§¯¸¸ °´Â '·Îº¿ ¹Ý(Úâ) ġȯ¼ú' °³¹ß

    ÀÔ·Â : 2009.02.10 22:44 | ¼öÁ¤ : 2009.02.11 08:09

    ¼ö¿ø ÀÌÃáÅú´¿ø ¹àÇô

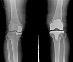
    ¹«¸­ °üÀý ¹Ý ġȯ¼ú(¿ÞÂÊ)°ú Àü ġȯ¼ú.
    ·Îº¿À¸·Î ¼Õ»óµÈ ¹«¸­ °üÀýÀÇ ÀϺθ¸ Àΰø°üÀý·Î ±³Ã¼ÇÏ´Â '·Îº¿ Àΰø°üÀý ¹Ý(Úâ) ġȯ¼ú'ÀÌ ±¹³» ¿¬±¸ÆÀ¿¡ ÀÇÇØ °³¹ßµÆ´Ù. '¹Ý ġȯ¼ú'Àº °üÀý Àüü¸¦ ±³Ã¼ÇÏ´Â 'Àü(îï) ġȯ¼ú'¿¡ ºñÇØ ¼ö¼úÀÌ ±î´Ù·Ó°í, ½ÇÆÐÀ²ÀÌ ³ô¾Æ Áö±Ý±îÁø °üÀý ÀϺΰ¡ ¼Õ»óµÈ ȯÀÚµµ ¾ÈÀüÇÑ 'Àü ġȯ¼ú'À» ¹Þ´Â °æ¿ì°¡ ¸¹¾Ò´Ù.

    ¼ö¿ø ÀÌÃáÅú´¿ø ·Îº¿°üÀý¿¬±¸¼Ò´Â µ¶ÀÚÀûÀ¸·Î °³¹ßÇÑ ¼ö¼ú Àåºñ¿Í ¼ÒÇÁÆ®¿þ¾î¸¦ ÀÌ¿ëÇØ ÀÇ·áÁøÀÌ ÀÛ³â 12¿ù 19ÀÏ °­¸ð(72)¾¾¿¡°Ô '·Îº¿ Àΰø°üÀý ¹Ý ġȯ¼ú'À» ¼º°øÀûÀ¸·Î ½Ã¼úÇßÀ¸¸ç, ±× ÀÌÈÄ 21¸í¿¡°Ôµµ ÀÌ ¼ö¼úÀ» ÇØ ¸ðµÎ ¼º°øÇß´Ù°í 10ÀÏ ¹àÇû´Ù. ÀÇ·áÁøÀº ¹«¸­À» 4~6§¯¸¸ Àý°³ÇØ °üÀýÀÇ ¼Õ»óµÈ ºÎºÐÀ» Á¦°ÅÇÑ µÚ ·Îº¿À¸·Î Á¤¹ÐÇÏ°Ô »À¸¦ ±ð¾Æ Àΰø°üÀýÀ» ÀåÂøÇß´Ù. ¼ö¼ú µÚ ºü¸¥ ȯÀÚ´Â 2~3½Ã°£ ¸¸¿¡ º¸Çà±â¿¡ ÀÇÁöÇØ °ÉÀ½À» °É¾úÀ¸¸ç, Æò±ÕÀûÀ¸·Î 4~5ÀÏ ¸¸¿¡ °è´ÜÀ» ¿À¸£³»·È°í, 5~6ÀÏ ¸¸¿¡ Åð¿øÇß´Ù°í ¿¬±¸¼Ò´Â ¹àÇû´Ù.

    'Àü ġȯ¼ú'À̵ç '¹Ý ġȯ¼ú'ÀÌµç ¼ÕÀ¸·Î ÇÒ °æ¿ì¿£ ÀϹÝÀûÀ¸·Î 15§¯ ÀÌ»ó Àý°³Çϸç, ·Îº¿À¸·Î 'Àü ġȯ¼ú'À» ÇÒ ¶§´Â 10§¯ Á¤µµ Àý°³ÇÑ´Ù. ÀÌÃáÅà ¿øÀåÀº "4~6§¯¸¦ °´Â 'ÃÖ¼Ò Àý°³ ·Îº¿ ¹Ý ġȯ¼ú'ÀÇ ¼º°øÀº ¾Æ¸¶µµ ¿ì¸® º´¿øÀÌ ¼¼°è ÃÖÃÊÀÏ °Í"À̶ó¸ç "¿À´Â 4¿ù ÀϺ» ¿À»çÄ«¿¡¼­ ¿­¸®´Â 'ÄÄÇ»Åͺ¸Á¶¼ö¼úÇÐȸ'¿¡ ÀÓ»ó°á°ú¸¦ ¹ßÇ¥ÇÒ ¿¹Á¤ÀÌ´Ù"°í ¸»Çß´Ù.

    ¾î¶² ¼ö¼úÀÌµç ¼Õ»ó ºÎÀ§¸¸ Á¦°ÅÇÏ´Â °ÍÀÌ ¿øÄ¢ÀÌÁö¸¸ Àΰø°üÀý ¼ö¼úÀÇ °æ¿ì¿£ ºÎºÐ ¼Õ»ó ȯÀÚµµ °üÀý Àüü¸¦ Á¦°ÅÇÏ´Â °æ¿ì°¡ ¸¹¾Ò´Ù. ¹Ý ġȯ¼úÀÇ °æ¿ì ³¢¿î Àΰø°üÀý°ú ¿ø·¡ °üÀýÀÌ ÇϳªÀÇ °üÀýó·³ ¿òÁ÷¿©¾ß Çϴµ¥ ºÎºÐ Àΰø°üÀýÀÇ À§Ä¡³ª Áß½ÉÃàÀÌ Á¶±Ý¸¸ Ʋ¾îÁ®µµ ¼ö¼úÀÌ ½ÇÆÐÇÒ °¡´É¼ºÀÌ ³ô¾Æ ÀÇ»çµéÀÌ ¹Ý ġȯ¼úÀ» ²¨·È´Ù°í ÇÑ´Ù. ÀÌ ¿øÀåÀº "¿ì¸®³ª¶ó ȯÀÚ´Â ´ëºÎºÐ ¾È¯´Ù¸®¿©¼­ °üÀýÀÇ ¾ÈÂʸ¸ ¸¶¸ðµÇ°í ¹Ù±ùÂÊÀº ¸ÖÂÄÇÑ °æ¿ì°¡ 30~40%Âë µÈ´Ù"¸ç "ÀÌ·± ȯÀÚ´Â ¾ÈÂÊ °üÀý¸¸ °¥¾Æ ³¢¿ì¸é µÇÁö¸¸ ¼ÕÀ¸·Î´Â ±×·¸°Ô Á¤±³ÇÏ°Ô Áß½ÉÃà°ú °¢µµ¸¦ ¸ÂÃß±â Èûµé¾î 'Àü ġȯ¼ú'À» ÇÏ´Â °æ¿ì°¡ ¸¹¾Ò´Ù"°í ¼³¸íÇß´Ù.

    ÀÌ ¿øÀåÀº "±×·¯³ª °üÀýÀÇ ÀϺθ¸ ¼Õ»óµÈ ¸ðµç ȯÀÚ°¡ '·Îº¿ ¹Ý ġȯ¼ú'À» ¹ÞÀ» ¼ö ÀÖ´Â °ÍÀº ¾Æ´Ï¸ç °üÀýÀÇ º¯Çü Á¤µµ³ª ÀüÈÄ¹æ ½ÊÀÚÀδëÀÇ »óÅ µî¿¡ µû¶ó 'Àü ġȯ¼ú'À» ¹Þ¾Æ¾ß ÇÒ °æ¿ìµµ ÀÖ´Ù"°í ¸»Çß´Ù.